Mesothelioma Cancer Information

mesothelioma

It's is a rare form of cancer that attack the layers of mesothelial cells, which form the thin lining (mesothelium) of the lung, chest, abdomen, and heart organs. The role of the mesothelium is to protect these organs by producing a lubricating fluid. The mesothelium found in the chest cavity is called the pleura and the mesothelium in the abdominal cavity is referred to as the peritoneum. The mesothelium that surrounds the heart is known as the pericardium. Almost all cases of this disease are linked to exposure to asbestos.

This Cancer Disease affects roughly 2,500-3,000 people in the United States per year. It can be difficult to diagnose because many of the mesothelioma symptoms are similar to those of a number of other conditions, including lung cancer, viral pneumonia, stomach cancer and heart disease. This disease is extremely threatening as it has a long latency period and can lie dormant for up to 50 years after exposure.

For More Information About - Types of Disease Mesothelioma

after understanding you must understand about

Treatment of Mesothelioma Cancer

Type of Mesothelioma Cancer

 

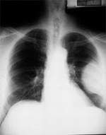
Pleural Mesothelioma

Is the most common form . Pleural mesothelioma begins in the chest cavity and affects the lungs. The most common way for pleural mesothelioma to present itself is through pleural effusion. The initial symptoms that a patient will experience due to the pleural effusion are dyspnea (difficulty breathing), chest pain and/or persistent cough some patients show no symptoms at all. Less common symptoms include fever, night sweats and weight loss.

 

Peritoneal Mesothelioma

2nd most common form of mesothelioma and begins in the peritoneum. Peritoneal mesothelioma is sometimes referred to as “abdominal mesothelioma”. Symptoms of peritoneal mesothelioma: may include pain or swelling in the abdomen due to a build-up of fluid, nausea, weight loss, bowel obstruction, anemia or swelling of the feet.

 

Pericardial Mesothelioma

Is the rarest form of mesothelioma and affects the heart. Pericardial mesothelioma is found in about 5% of all mesothelioma cases. Symptoms of pericardial mesothelioma: may include shortness of breath, irregular heartbeat, heart palpitations and chest pain.

Cell Types

Malignant mesotheliomas are divided into three main cell types: epithelioid, sarcomatoid or fibrous and mixed type or biphasic.

 

More Information Websites